얼굴을 옆에서 보았을 때 코끝이나 턱 끝에 비해 입이 앞으로 튀어 나온 상태를 말합니다. 치아와 잇몸이 같이 앞으로 튀어나와 있는 경우로, 웃을 때 잇몸이 드러나 미관상 아름답지 않다고 생각할 수 있고 입이 앞으로 튀어나오면 입술도 두툼하게 나와 있어 퉁명스러운 인상을 풍기고 세련되지 못한 인상을 줍니다.
            
        
          돌출입교정에서 제일 중요한 것은 얼마나 입을 많이 넣느냐가 아니라, 얼마나 적절하게 입이 들어가도록 하는 것입니다. 특히 아름다움에 대한 기준은 사람마다 다르기 때문에, 대전 연세바로치과는 과학적인 진단과 환자분들과의 충분한 상담을 통해 개인별 맞춤형 돌출입교정 치료를 진행합니다.
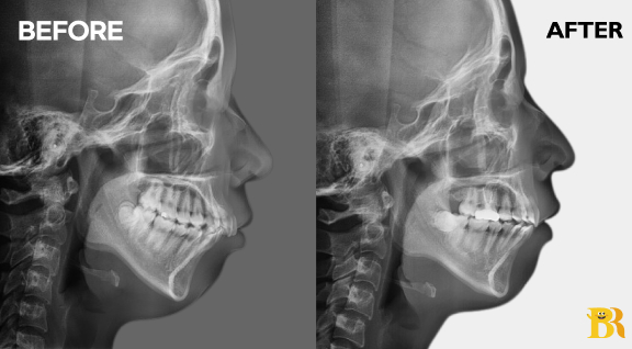
[상악 전치부 매복치를 동반한 케이스] 윗니 2곳에 발치 및 전치부 후방이동으로 돌출입을 해결하고 치열을 고르게 만들었습니다




[상악 전치부가 앞쪽으로 크게 뻗은 케이스] 입술이 도드라져 보여서 발치교정으로 앞니의 각도를 감소시켜 주었습니다




| 교정/임플란트 | |||
|---|---|---|---|
| 교정 | 교정진단 | 3만원 | |
| 1차교정 | 150만원 | 월비  3만원  | 
            |
| 2차교정 | total | ||
| 투명교정 | 310만원 | 월비  5만원 포함  | 
            |
| 인비절라인 전체(컴프리헨시브)  | 
              650만원 | ||
| 인비절라인 (라이트)  | 
              500만원 | ||
| 인비절라인 (퍼스트)  | 
              370만원 | ||
| 메탈 브라켓 | 380만원 | ||
| 세라믹 브라켓 | 400만원 | ||
| 클리피M | 430만원 | ||
| 클리피C | 450만원 | ||
| S-line | 500만원 | ||
| 콤비교정 | 650만원 | ||
| 7-7(클리피씨)  한 악  | 
              280만원 | ||
| 7-7(S-line)  한 악  | 
              300만원 | ||
| 3-3  상,하악  | 
              250만원 | ||
| 3-3  한 악  | 
              160만원 | ||
| 악궁확장장치 (RPE)  | 
              35만원 | ||
| 보철교정 | 70만원 | ||
| DBD3-3 (악/상,하악)  | 
              25/40만원 | ||
| DBD3-4 (악/상,하악)  | 
              30/60만원 | ||
| 유지장치 | 타치과 fixed  | 
              5만원 | 1치당 | 
| 타치과  와이어찔림  | 
              1만원 | ||
| fixed (전악)  | 
              15만원 | 타원  30만원  | 
            |
| c.r | 5만원 | 타원  15만원  | 
            |
| circum | 10만원 | 타원  20만원  | 
            |
| 임플란트 | 국산 (오스템)  | 
              99만원 | 보철 변경시 구치부 5만원 전치부 10만원  | 
            
| 외산 (스트라우만)  | 
              145만원 | ||
| GBR | 30만원 | ||
| 상악동 거상술 (sinus life)  | 
              50만원 | Crestal | |
| 100만원 | Lateral | ||
| 멤브레인 (menbrain)  | 
              20만원 | 뼈이식 안들어 갈 시  | 
            |
| 보험임플란트 | 약40만원 | 보험 | |
| 일반/ 보철 치료 | |||
| 레진 | 구치부  1면  | 
                10만원 | 치료  부위 마다 상이함 (면당금액)  | 
              
| 구치부  2면  | 
                15만원 | ||
| 전치부  1면  | 
                15만원 | ||
| 전치부  2면  | 
                24만원 | ||
| 잇몸라인 (C.ab)  | 
                8만원 | ||
| 앞니사이 (Diastema)  | 
                20만원 | ||
| 전치부 파절 | 20만원 | ||
| 간단레진  볼/혀쪽 (B/Lingual picture)  | 
                5만원 | ||
| 인레이 | 골드 인레이 | 35만원 | |
| 세라믹 인레이 | 30만원 | ||
| 세라믹 온레이 | 35만원 | ||
| 크라운 | 골드 크라운 | 55만원 | A(46%) | 
| 지르코니아 | 50만원 | 구치부 | |
| 60만원 | 전치부 | ||
| PFM (겉:사기/안:금속)  | 
                35만원 | 구치부 | |
| 45만원 | 전치부 | ||
| 가치 (pontic)  | 
                cr비용 | ||
| 임플란트 타원 | 60만원 | cr만 | |
| 70만원 | 어버트 먼트 까지  | 
              ||
| 라미네이트 | 60만원 (부가세 별도) | ||
| 코어 & post  | 
                레진 core | 10만원 | |
| wall+core | 10만원 | ||
| post+core | 15만원 | ||
|  인접면우식 + rct한 전치부 core  | 
                15만원 | ||
| 미백 | 자가미백 | 30만원 | 부가세  별도  | 
              
| 전문가미백 | 30만원 | ||
| 전문가+자가미백 | 50만원 | ||
| 실활치미백 W.B | 10만원 | ||
| 치석제거 | 6만원 | ||